Συχνές Νόσοι του Στόματος στα Παιδιά
Οδοντιατρική για παιδιά, εφήβους και ΑμεΑ, Κατερίνη
Οι πιο συχνές νόσοι του στόματος κατά την παιδική και την εφηβική ηλικία είναι η τερηδόνα και η ουλίτιδα, ενώ αρκετά συχνά εμφανίζονται καταστάσεις που ανησυχούν τους γονείς και οι οποίες μπορεί να προκαλέσουν πόνο ή ευαισθησία στα δόντια των παιδιών. Πολύ σημαντική κρίνεται η ενημέρωση των γονέων γύρω από τις παθήσεις και τις καταστάσεις αυτές με στόχο την πρόληψη (όπου είναι δυνατόν) αλλά και την έγκαιρη αντιμετώπιση τους.
Τερηδόνα
Η τερηδόνα προκαλείται από τα μικρόβια που είναι προσκολλημένα στην επιφάνεια των δοντιών που δεν βουρτσίζονται καλά, τα οποία μεταβολίζουν τους υδατάνθρακες που προσλαμβάνονται με τις τροφές και ως αποτέλεσμα έχουν την παραγωγή οξέων. Τα οξέα αυτά με τη σειρά τους διαλύουν σιγά-σιγά την αδαμαντίνη (σμάλτο) των δοντιών και έτσι προκαλούν την καταστροφή του δοντιού.
Τερηδόνα βρεφικής και νηπιακής ηλικίας ή τερηδόνα θηλασμού
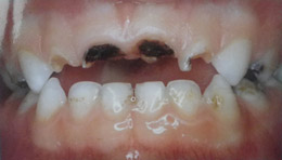
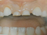
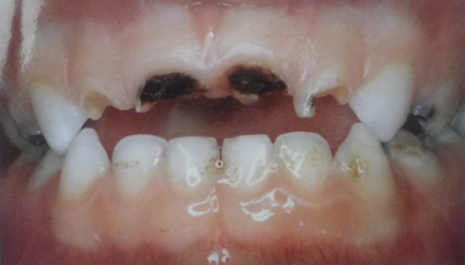
Η τερηδόνα βρεφικής και νηπιακής ηλικίας εμφανίζεται σε μικρά παιδιά ηλικίας 2 έως 5 ετών, τα οποία έχουν τερηδονισμένα ένα ή και περισσότερα νεογιλά δόντια. Η τερηδόνα αυτής της μορφής οφείλεται σε λάθος τρόπο διατροφής του παιδιού και μπορεί να εξελιχθεί γρήγορα και σε μεγάλη έκταση επηρεάζοντας το σύνολο το δοντιών που βρίσκονται στο στόμα.
Η κυριότερη αιτία εμφάνισης της τερηδόνας αυτής της μορφής είναι το τάισμα με το μπιμπερό ενώ το παιδί κοιμάται. Κατά τη διάρκεια του ύπνου η ποσότητα του σάλιου μειώνεται και το γάλα, ανεξάρτητα αν περιέχει ή όχι ζάχαρη, παραμένει πάνω στα δόντια και προκαλεί τερηδόνα. Ακόμη και το μητρικό γάλα μπορεί να έχει τις ίδιες συνέπειες, εφόσον το παιδί θηλάζει κατά βούληση κατά τη διάρκεια της νύχτας.
Επομένως το τάισμα του μωρού σας θα πρέπει να γίνεται όταν είναι ξύπνιο και όρθιο και να κοιμάται πάντα με καθαρά δόντια. Επίσης να αποφεύγετε τη χρήση μπιμπερό με χυμό, έστω και αραιωμένο, ή νερό με ζάχαρη ή μέλι. Τέλος, η πιπίλα θα πρέπει να χρησιμοποιείται σκέτη και όχι βουτηγμένη σε ζάχαρη ή μέλι.
Ο καλύτερος τρόπος αντιμετώπισης της τερηδόνας βρεφικής και νηπιακής ηλικίας είναι η πρόληψή.
- Θηλάστε το μωρό σας τουλάχιστον μέχρι τον 4ο ή 6ο μήνα.
- Χρησιμοποιείτε το μπιμπερό μόνο για γάλα ή νερό και μόνο κατά τη διάρκεια της ημέρας. Ποτέ όταν το παιδί κοιμάται.
- Μέχρι να μπορέσει το μωρό να πιει από ποτήρι δώστε του χυμούς ή αλλά υγρά με το κουταλάκι.
- Μη δίνετε ποτέ στο μωρό σας πιπίλα βουτηγμένη σε ζάχαρη ή μέλι.
- Μόλις εμφανιστούν τα πρώτα δόντια στο στόμα του παιδιού, ξεκινήστε τη διαδικασία καθαρισμού τους τουλάχιστον πρωί - βράδυ, στην αρχή με μία βρεγμένη γάζα και αργότερα με οδοντόβουρτσα και οδοντόκρεμα.
- Κατά τη διάρκεια του ταΐσματος κρατήστε στα χέρια σας το μωρό σας και το μπιμπερό. Έτσι το παιδί μαθαίνει ότι οι γονείς είναι αυτοί που ελέγχουν το μπουκάλι. Σε καμία περίπτωση δεν πρέπει να συγχέεται η ώρα που το παιδί τρώει με την ώρα που κοιμάται, μια και πρόκειται για δύο ξεχωριστές δραστηριότητες.
- Επισκεφθείτε τον παιδοδοντίατρο πριν το παιδί σας συμπληρώσει τους 12 μήνες και οπωσδήποτε όχι αργότερα από την ηλικία των 3 ετών.
Γιατί είναι σημαντικό να προσέχουμε από νωρίς τα παιδικά δόντια, αφού το παιδί θα τα αλλάξει αργότερα;
Τα παιδικά δόντια είναι τα πρώτα δόντια που έχει ένα παιδί στο στόμα του και έχουν σημαντική αποστολή για όσο καιρό βρίσκονται εκεί διότι:
- Είναι απαραίτητα για να μασάει το παιδί την τροφή του, οπότε και να αναπτύσσεται φυσιολογικά.
- Είναι απαραίτητα για την ομιλία, ιδιαίτερα κατά την ηλικία που το παιδί μαθαίνει να μιλάει.
- Τα παιδικά δόντια διατηρούν τους χώρους όπου θα ανατείλουν τα μόνιμα δόντια αργότερα και συμβάλλουν στη σωστή ανάπτυξη των γνάθων.
- Υγιή παιδικά δοντάκια σημαίνουν όμορφο και υγιές χαμόγελο που πρέπει να έχουν όλα τα παιδάκια για να αισθάνονται ωραία για τον εαυτό τους και να έχουν αυτοπεποίθηση.
- Η τερηδόνα των νεογιλών δοντιών προκαλεί πόνο και μερικές φορές πυρετό και κακουχία στο παιδί, καταστάσεις δυσάρεστες τις οποίες κανένας γονιός δεν θα ήθελε να βιώσει το παιδί του.
- Η παρουσία τερηδονισμένων νεογιλών δοντιών μπορεί να επηρεάσει και τα μόνιμα δόντια, διότι η τερηδόνα οφείλεται στα μικρόβια τα οποία μεταδίδονται με το σάλιο από δόντι σε δόντι. Εφόσον το περιβάλλον της στοματικής κοιλότητας που αναπτύσσονται τα μόνιμα δόντια δεν είναι υγιές, τότε είναι θέμα χρόνου να "χαλάσουν" και αυτά.
- Γι' αυτό τα νεογιλά δόντια είναι εξίσου σημαντικά με τα μόνιμα και η παραμέλησή τους με τη δικαιολογία ότι θα αλλάξουν είναι σοβαρό λάθος.
Πηγή: Ελληνική Παιδοδοντιατρική Εταιρεία
Ουλίτιδα
Η νόσος της ουλίτιδας:
- Εκδηλώνεται με διόγκωση και ερυθρότητα των ούλων γύρω από τα δόντια.
- Το κυριότερο χαρακτηριστικό είναι η αιμορραγία των ούλων στο βούρτσισμα και ορισμένες φορές συνοδεύεται από πόνο και κακοσμία του στόματος.
- Οφείλεται, όπως και η τερηδόνα, στη μικροβιακή πλάκα δηλαδή στα μικρόβια που προσκολλώνται στα δόντια και τα οποία έρχονται σε επαφή με τα ούλα προκαλώντας τοπικά φλεγμονή.
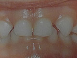
- Μπορεί εύκολα να προληφθεί με σωστό και καθημερινό βούρτσισμα των δοντιών, τη χρήση οδοντικού νήματος και των στοματικών διαλυμάτων σύμφωνα με της οδηγίες του παιδοδοντίατρου. Σημαντικός είναι επίσης ο τακτικός έλεγχος των δοντιών στον παιδοδοντίατρο και ο καθαρισμός των δοντιών 1-2 φορές το χρόνο.
Μελανή χρωστική
Εκδηλώνεται με την παρουσία μαύρων στιγμάτων στην επιφάνεια των δοντιών κυρίως κοντά στα ούλα ή και σε ολόκληρη την οδοντική επιφάνεια. Οφείλεται στην εναπόθεση διαφόρων χρωστικών ουσιών στα δόντια, εξαιτίας της παρουσίας διαφόρων χημικών, μεταλλικών και μη, ενώσεων στο σάλιο. Δεν προκαλεί τερηδόνα ή κάποια άλλη βλάβη στο δόντι. Το πρόβλημα είναι κυρίως αισθητικό και αντιμετωπίζεται εύκολα με καθαρισμό των δοντιών στο ιατρείο σε συνδυασμό με σωστό και τακτικό βούρτσισμα στο σπίτι. Παρόλο που εμφανίζεται επανειλημμένα, έχει παρατηρηθεί ότι το πρόβλημα αυτό αμβλύνεται με την πάροδο της ηλικίας και σε πολλές περιπτώσεις εξαλείφεται εντελώς.
Ανωμαλίες αριθμού, θέσης και σχήματος νεογιλών και μονίμων δοντιών
Υπάρχουν διάφορες καταστάσεις που χρήζουν διάγνωσης και θεραπείας από τον παιδοδοντίατρο. Δείτε τις μία προς μία κάνοντας κλικ στις παρακάτω εικόνες.
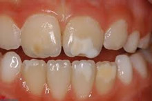
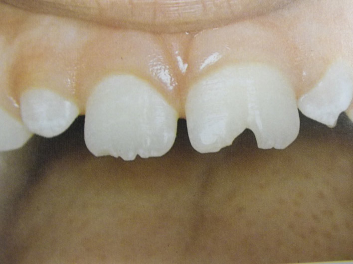
Υπενασβετίωση της αδαμαντίνης
Συνήθως εκδηλώνεται με λευκές, κίτρινες ή καφέ κηλίδες στους τομείς και τους γομφίους, μπορεί όμως να επηρεάσει και άλλα δόντια. Η κλινική εικόνα μπορεί να περιορίζεται μόνο στην εμφάνιση αυτών των κηλίδων, ή να είναι πιο σοβαρή προκαλώντας απώλεια της αδαμαντίνης του δοντιού, με συνέπεια την εμφάνιση ευαισθησίας και πόνου καθώς και τερηδόνας.
Η κατάσταση αυτή της αδαμαντίνης οφείλεται σε διαταραχή της διάπλασής της με αποτέλεσμα την ελλιπή ενσωμάτωση των μετάλλων στη δομή της. Έχουν ενοχοποιηθεί διάφοροι παράγοντες (περιβαλλοντικοί, ασθένειες της μητέρας και του βρέφους, διατροφή κ.ά.) οι οποίοι μπορούν να προκαλέσουν αυτές τις διαταραχές.
Σημαντική είναι η έγκαιρη διάγνωση από τον παιδοδοντίατρο και η εφαρμογή ενός ολοκληρωμένου προληπτικού προγράμματος προστασίας αυτών των δοντιών προκειμένου να διατηρηθούν υγιή.













